Urologista em Goiânia

Ultrassom Doppler com Fármaco Indução e a Disfunção Erétil

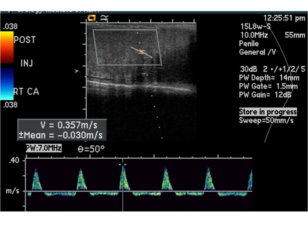
A disfunção erétil (DE) afeta muitos homens e pode ter diversas causas, desde fatores psicológicos até problemas vasculares. Para um diagnóstico preciso, um dos exames mais eficazes é o ultrassom Doppler Peniano com fármaco indução, que avalia o fluxo sanguíneo no pênis e a resposta vascular à ereção. Além disso, em alguns casos, o tratamento com injeções intracavernosas pode ser uma solução eficaz para restaurar a função erétil.

O que é o Ultrassom Doppler com Fármaco Indução?

Esse exame é um método invasivo que analisa a circulação sanguínea nos corpos cavernosos do pênis. Ele é feito em duas etapas:

1. Medição inicial do fluxo sanguíneo – o pênis é avaliado em estado de repouso para verificar a circulação basal.

2. Indução farmacológica da ereção – um medicamento vasodilatador (como a prostaglandina E1 ou um conjunto de medicações) é injetado no corpo cavernoso para estimular a ereção, permitindo a análise do fluxo arterial e do retorno venoso.

Por que esse exame é importante?

• Diferencia causas vasculares de outras condições – se o fluxo arterial estiver comprometido ou houver um vazamento venoso significativo, a DE pode ter origem circulatória.

• Avalia a resposta à terapia farmacológica – o teste ajuda a prever se o paciente responderá bem a tratamentos com medicamentos orais ou injetáveis.

• Orienta a escolha da melhor abordagem terapêutica – dependendo do resultado, o médico pode recomendar medicamentos, terapia de ondas de choque, injeções intracavernosas ou até mesmo cirurgia.

Resgatando a Ereção com Injeções Intracavernosas

Para pacientes com disfunção erétil severa, que não respondem a comprimidos como sildenafil (Viagra) ou tadalafil (Cialis), o uso de injeções intracavernosas pode ser uma solução eficaz.

Como funcionam as injeções no pênis?

Esse tratamento envolve a aplicação de um medicamento diretamente nos corpos cavernosos antes da relação sexual. Os fármacos mais utilizados incluem:

• Alprostadil (prostaglandina E1)

• Papaverina

• Fentolamina

Esses medicamentos agem relaxando os vasos sanguíneos e aumentando o fluxo arterial, promovendo uma ereção firme e duradoura.

Benefícios das injeções intracavernosas

• Alta taxa de sucesso – a resposta ao tratamento chega a 85%, mesmo em casos de DE grave.

• Efeito rápido – a ereção ocorre entre 5 e 15 minutos após a aplicação.

• Independente de estímulo sexual – diferente dos comprimidos, que exigem excitação para funcionar.

Quem Pode se Beneficiar Desses Tratamentos?

• Homens com diabetes, hipertensão ou doenças cardiovasculares que afetam a circulação peniana.

• Pacientes pós-cirurgia de próstata ou cirurgias pélvicas que comprometeram a ereção.

• Indivíduos que não respondem a medicamentos orais convencionais.

Conclusão

O ultrassom Doppler com fármaco indução é essencial para entender as causas da disfunção erétil e definir o tratamento ideal. Para quem não responde a comprimidos, as injeções intracavernosas podem resgatar a ereção e melhorar a qualidade de vida.

Se você sofre com disfunção erétil e quer saber mais sobre essas soluções, agende uma consulta pelo telefone (62) 99980-7318 com um Urologista em Goiânia.

Comentários

O que deseja encontrar?

Compartilhe